 |
Immunohistochemistry analysis of MyD88 antibody in paraffin-embedded human brain tissue. |
 |
Western blot analysis of lysate from COLO cells, using MyD88 antibody. |
 |
Immunofluorescence analysis of mouse-spleen tissue. 1,MyD88 Polyclonal Antibody(red) was diluted at 1:200(4°C,overnight). 2, Cy3 labled Secondary antibody was diluted at 1:300(room temperature, 50min).3, Picture B: DAPI(blue) 10min. Picture A:Target. Picture B: DAPI. Picture C: merge of A+B |
 |
Immunofluorescence analysis of rat-lung tissue. 1,MyD88 Polyclonal Antibody(red) was diluted at 1:200(4°C,overnight). 2, Cy3 labled Secondary antibody was diluted at 1:300(room temperature, 50min).3, Picture B: DAPI(blue) 10min. Picture A:Target. Picture B: DAPI. Picture C: merge of A+B |
 |
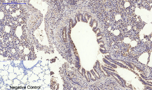
Immunohistochemical analysis of paraffin-embedded Rat-lung tissue. 1,MyD88 Polyclonal Antibody was diluted at 1:200(4°C,overnight). 2, Sodium citrate pH 6.0 was used for antibody retrieval(>98°C,20min). 3,Secondary antibody was diluted at 1:200(room tempeRature, 30min). Negative control was used by secondary antibody only. |
 |
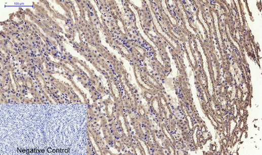
Immunohistochemical analysis of paraffin-embedded Rat-kidney tissue. 1,MyD88 Polyclonal Antibody was diluted at 1:200(4°C,overnight). 2, Sodium citrate pH 6.0 was used for antibody retrieval(>98°C,20min). 3,Secondary antibody was diluted at 1:200(room tempeRature, 30min). Negative control was used by secondary antibody only. |
 |
Immunohistochemical analysis of paraffin-embedded Mouse-kidney tissue. 1,MyD88 Polyclonal Antibody was diluted at 1:200(4°C,overnight). 2, Sodium citrate pH 6.0 was used for antibody retrieval(>98°C,20min). 3,Secondary antibody was diluted at 1:200(room tempeRature, 30min). Negative control was used by secondary antibody only. |
 |
Western Blot analysis of various cells using MyD88 Polyclonal Antibody diluted at 1:2000 |
 |
Western Blot analysis of COLO205 cells using MyD88 Polyclonal Antibody diluted at 1:2000 |
 |
Western blot analysis of mouse-liver mouse-heart mouse-lung Cell Lysate, antibody was diluted at 1:500. Secondary antibody was diluted at 1:20000 |
 |
Western Blot analysis |